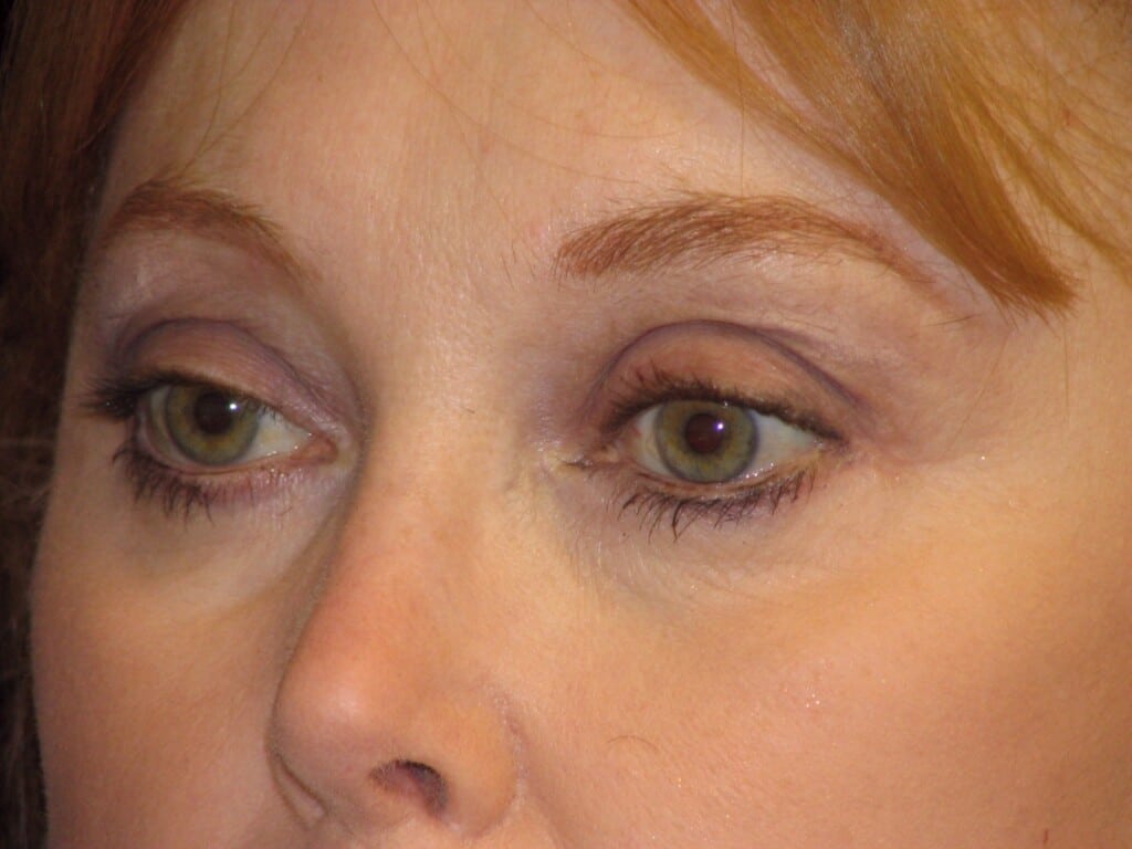
Case #0171
This is a 43 y.o. female who presents with eyebrow ptosis, upper eyelid skin redundancy and lower eyelid puffiness. Her goal is to rejuvenate the upper face region. She had an endoscopic forehead lift with an upper and lower eyelid lift. Her post-operative photos are seen 6 months after surgery.