Eyelid Surgery
Case #0227
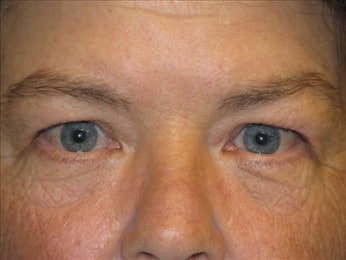
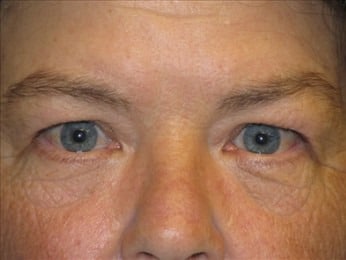
CASE DESCRIPTION: This is a 64-year-old, female resident of San José , California who presented to the San Francisco office at Union Square for evaluation for an upper and lower lid blepharoplasty. Her complaints were the heaviness of the upper eyes as well as the puffiness of the lower eyelids and the poor skin quality. She underwent an endoscopic browlift and upper and lower lid blepharoplasty with a TCA peel. Her photographs are seen at six months after surgery. Note the more youthful appearance and the natural appearance of her face.