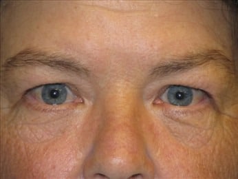
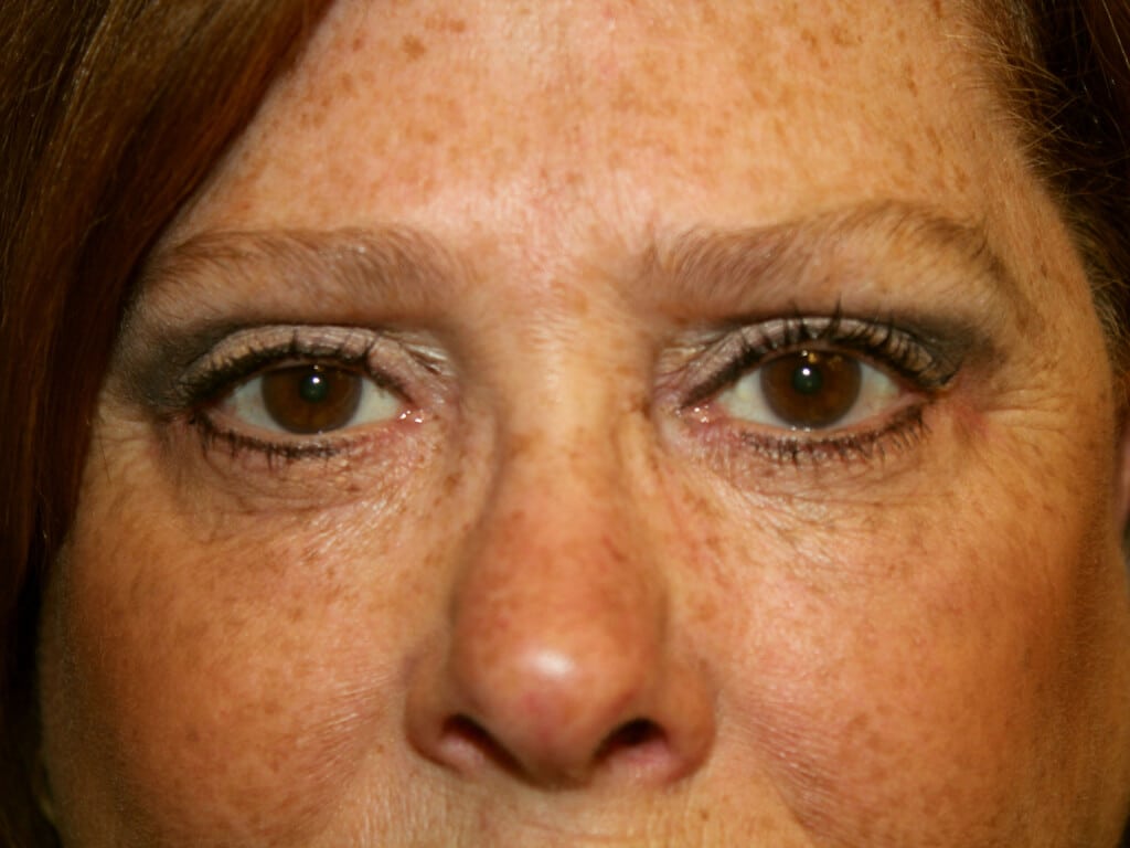
Eyelid Surgery
Case #0225
Case Description: This is a 55 y.o. female who complains of heavy upper eyelids and bags in the lower eyelids. She had an upper and lower eyelid lift or blepharoplasty. Her incision was made just below the eyelash line in the lower eyelid. Her photos are taken 6 months after surgery. She is a good candidate for an eyebrow or forehead lift.