Eyelid Surgery
Case #0218
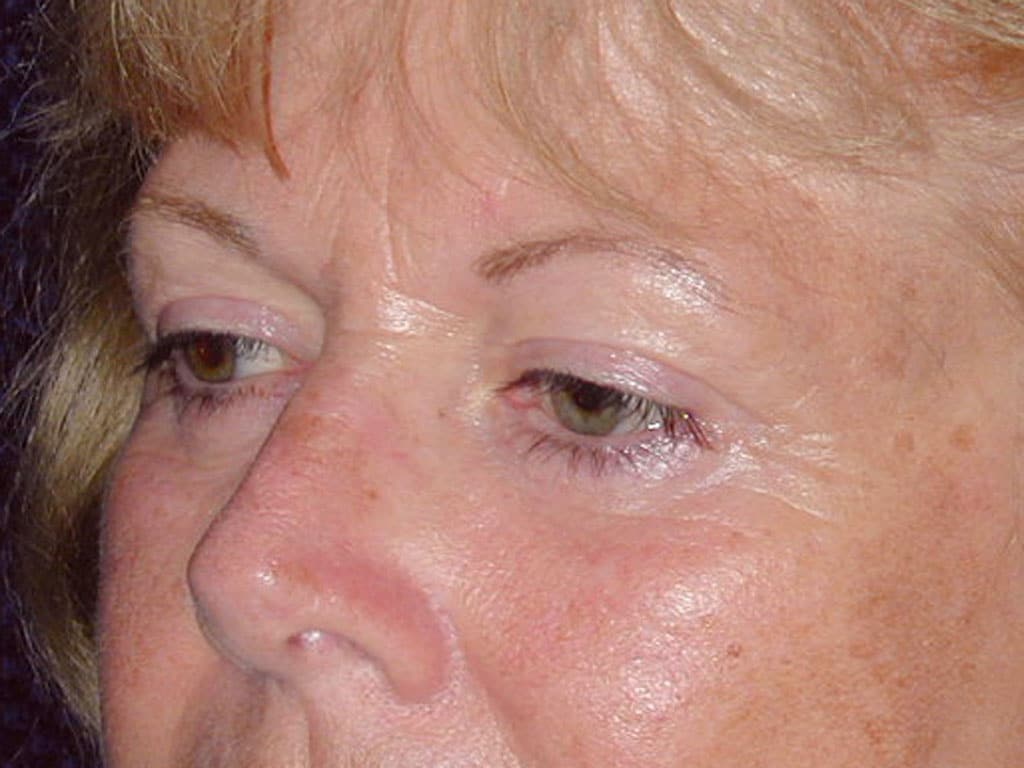
This is a 61 y.o. female who complains of upper eyelids are blocking here vision and aging of the lower eyelids. She had an upper and lower eyelid lift or blepharoplasty. Her incision was made just below the eyelash line in the lower eyelid. Her photos are taken 6 months after surgery.